2025全球首款现货型NK细胞疗法ZMPB-NK006新药临床试验获批,1年生存率80%,攻坚肺癌、肝癌、乳腺癌等
2025年,中国国家药品监督管理局(NMPA)批准河北美欧赛奥金生物科技公司研发的ZMPB-NK006注射液新药临床试验(IND)申请,拟用于晚期或转移性恶性实体肿瘤治疗,系全球首个“现货型”NK细胞疗法。
“现货型”NK细胞源自健康供体脐带血,具备无需配型、即取即用、批量生产优势,破解了实体瘤患者因病情进展快错失治疗窗口的困境,凭借“即用型”供应与普惠成本重塑全球癌症治疗格局,为肺癌、肠癌、肝癌、胃癌等实体瘤患者带来新希望。

▲截图源自“NMPA”
NK细胞:人体天然抗癌防线的核心力量
自然杀伤细胞(NK细胞)是造血干细胞分化而来的先天免疫细胞,属于先天淋巴细胞(ILC)家族和人体第三类淋巴细胞,既是先天免疫系统效应细胞,也是免疫监视第一道防线,堪称抗癌、抗感染的“天然斗士”与“前沿哨兵”。它无需抗原递呈,可直接识别并杀伤肿瘤、感染、衰老等异常细胞,还能分泌细胞因子启动免疫反应,募集其他免疫细胞,调节肿瘤微环境,在控制肿瘤转移及抗癌、抗病毒中发挥关键作用。
既然人体天然存在NK细胞,为何癌症患者还需外源性补充?主要原因有二:一是肿瘤阻碍NK细胞正常分化成熟;二是残存NK细胞战斗力下降,难以有效抗癌。外源性补充可增加其数量并增强杀伤活性,在实体瘤和血液肿瘤中展现广谱抗癌潜力。随着研究深入,这道天然抗癌防线将为更多患者带来希望。
▼自然杀伤(NK)细胞正在攻击癌细胞

▲图源“nature portfolio”,版权归原作者所有,如无意中侵犯了知识产权,请联系我们删除
NK细胞联合PD-1组合拳发力,晚期非小细胞肺癌患者缓解率飙升至45%,1年生存率高达80%
非小细胞肺癌(NSCLC)占肺癌病例的84%,多数患者确诊时已属晚期,5年生存率仅为6%。免疫检查点抑制剂(ICI)改变了其治疗格局,但总体缓解率(ORR)仅15%-20%,多数患者无法获益。而NK细胞可增强抗PD-1抗体疗效,且即用性更高、安全性优于CAR-T等其他细胞疗法,免疫相关不良事件更少。
《癌症免疫与免疫治疗》报道的临床研究(NCT03958097)评估了信迪利单抗联合自体NK细胞对一线铂类化疗失败的IIIB/IIIC期或IV期驱动突变阴性NSCLC患者的疗效与安全性,验证了这一结论,该研究共纳入20例患者,均接受至少2个疗程联合治疗,中位随访22.6个月(范围:2.7~25.9个月)。结果显示如下:
1、中位无进展生存期(PFS):中位PFS为11.6个月(详见下图),鳞状细胞癌患者PFS(19.67个月,95%CI:11.37-NA)优于腺癌患者(2.02个月,95%CI:1.97-NA)(p<0.05)。

▲图源“Frontiers”,版权归原作者所有,如无意中侵犯了知识产权,请联系我们删除
2、中位总生存期(OS):中位OS为17.7个月(范围:2.3~25.9+个月,详见下图),6个月和12个月总生存率分别为95.0%、80.0%。

▲图源“Frontiers”,版权归原作者所有,如无意中侵犯了知识产权,请联系我们删除
3、客观缓解率(ORR):按RECISTv1.1标准评估,ORR为45%。其中完全缓解(CR)率为5%,部分缓解(PR)率为40%。50%的患者靶病灶缩小,9例患者达到确认PR,77.8%(7/9)的缓解患者持续缓解3.5~24.5+个月(详见下图),中位缓解时间1.4个月(范围1.3~4.0个月)。

▲图源“Frontiers”,版权归原作者所有,如无意中侵犯了知识产权,请联系我们删除
NK细胞疗法联合不可逆电穿孔,为不可切除肝癌患者注入生命新活力,1年生存率提升11%,OS延长超5个月
原发性肝癌(PLC)发病率逐年上升,中国新发肝癌病例约占全球50%。手术虽为治疗金标准,但因肿瘤多发、转移、肝功能受损等因素,仅适用于不足20%的患者。因此,迫切需要寻求新的治疗方法。
近期,一项针对不可切除PLC的临床研究(NCT03008343),共纳入40例原发性肝细胞癌(PLC)患者,随机分为单纯不可逆电穿孔(IRE)组(22例)、IRE联合同种异体NK细胞免疫治疗组(IRE-NK组,18例)。
结果显示:联合治疗组(IRE-NK组)的中位无进展生存期(PFS)和总生存期(OS)均显著优于单纯IRE组。具体表现为:IRE-NK组的中位PFS为15.1个月,而单纯IRE组仅为10.6个月(详见下图A)。两组1年OS率分别为77.8%、66.7%;中位OS分别为23.2个月、17.9个月(P=0.031,详见下图B),风险比(HR)为2.25(95%CI1.08–4.72)。

▲图源“Cardiovasc Intervent Radiol”,版权归原作者所有,如无意中侵犯了知识产权,请联系我们删除
综上,NK细胞联合疗法可显著降低循环肿瘤细胞(CTC)数量,提升患者免疫功能及Karnofsky评分,是一种前景广阔的新型联合疗法。
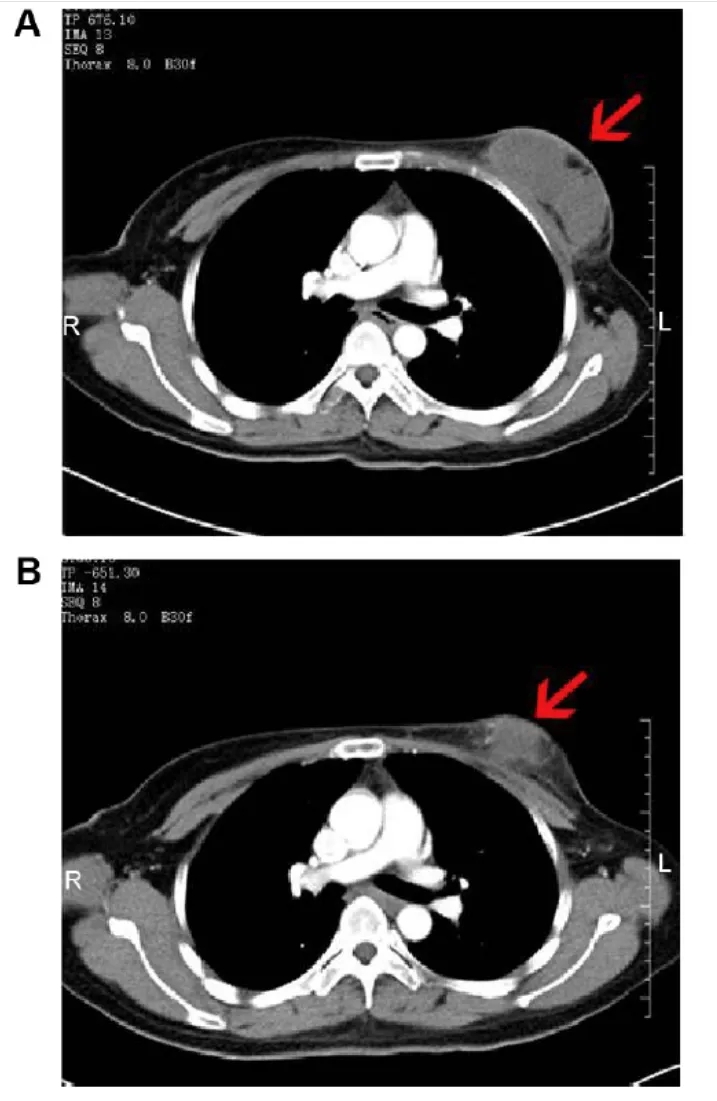
NK细胞疗法攻坚复发性乳腺癌,治疗2个月肿瘤显著缩小
暨南大学研究团队开展的NK细胞治疗复发性乳腺癌临床研究(NCT02853903)中,共纳入36例病理确诊的复发性乳腺癌患者,其中一位46岁患者的显著疗效引发关注。
该患者治疗前后的影像学变化尤为典型:治疗前CT扫描显示,其右乳存在8.0×3.8×5.7cm的软组织肿块,边界模糊,增强CT呈中度不均匀强化;腋窝可见多处肿大淋巴结,最大者约2.9×1.7×3.8cm(详见下图A)。经NK细胞治疗2个月后,影像学复查显示肿块缩小至6.8×3.5×5.8cm,强化程度减弱为轻度不均匀;腋窝肿大淋巴结亦显著缩小(详见下图B),展现出NK细胞疗法在复发性乳腺癌中的潜在抗肿瘤活性。

▲图源“Dovepress”,版权归原作者所有,如无意中侵犯了知识产权,请联系我们删除
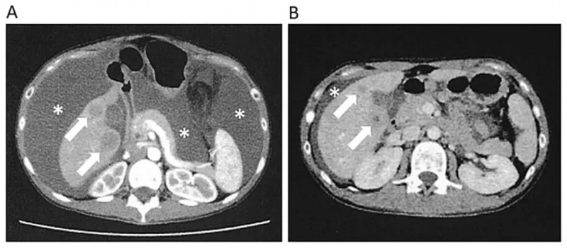
NK细胞联合DC疫苗,让晚期子宫内膜癌患者腹水+转移灶双双消退
《Cureus》近期报道一则振奋案例:一位30岁左右女性患者,确诊时为IV期子宫内膜癌,后进展为晚期伴全身多发转移,经NK细胞+WT1-DC疫苗+纳武单抗联合治疗后,全身多处病灶明显减少,腹水完全消失。
该患者初期仅接受紫杉醇+卡铂AUC5常规化疗,因医生评估预后不佳,随即调整为化疗同步多轮WT1-DC疫苗+高活性NK细胞的联合治疗方案。结果显示如下:
1、腹水与指标变化:治疗前患者存在大量腹水,治疗期间腹水逐步减少,至第56天腹水明显减少且肝转移灶同步缩小(详见下图),印证NK细胞疗法对控制腹膜播散效果显著。此外,第三次NK细胞治疗后,患者癌胚抗原(CEA)、糖类抗原125(CA125)水平明显下降,腹围也显著减小。

▲图源“Cureus”,版权归原作者所有,如无意中侵犯了知识产权,请联系我们删除
2、病灶显著改善:治疗前全身PET-CT提示双侧卵巢原发性病灶,同时合并腹膜、肝脏、骨骼、肺部等广泛转移;治疗第142天复查,原发性肿瘤明显缩小,肺转移灶及腹膜播散灶完全消失,肝转移灶显著缩小(详见下图),患者已计划进行原发肿瘤根治性切除术。

▲图源“Cureus”,版权归原作者所有,如无意中侵犯了知识产权,请联系我们删除
小编寄语
NK细胞可在第一时间发现并启动人体的免疫防御机制,及时发现并将癌细胞扼杀在“摇篮”里,是公认的抗癌第一道防线。多项临床研究也表明,NK 细胞疗法具有很高的安全性和有效性,可以实现强效、通用和现成的免疫细胞疗法的前景,而且还可与DC细胞疫苗等疗法“强强联合”,是抗癌疗法中冉冉升起的新星!
小编也希望通过这篇文章能让更多病友,了解到NK细胞疗法的前沿进展及其在实体瘤和血液肿瘤中的应用,为广大癌友带来新的希望与选择!如果您对现有治疗方案不满意,或想寻求NK细胞、CAR-NK细胞、DC疫苗等抗癌新技术的帮助,可将治疗经历、近期病理检查报告、出院小结等,提交至医学部,进行初步评估。
参考资料
[1]Jia L,et al.Sintilimab plus autologous NK cells as second-line treatment for advanced non-small-cell lung cancer previous treated with platinum-containing chemotherapy[J]. Frontiers in immunology, 2022, 13: 1074906.
https://www.frontiersin.org/journals/immunology/articles/10.3389/fimmu.2022.1074906/full
[2]Yang Y,et al.Safety and Short-Term Efficacy of Irreversible Electroporation and Allogenic Natural Killer Cell Immunotherapy Combination in the Treatment of Patients with Unresectable Primary Liver Cancer. Cardiovasc Intervent Radiol. 2019 Jan;42(1):48-59.
https://pmc.ncbi.nlm.nih.gov/articles/PMC6267679/
[3]Nagai H,et al.Late-Stage Ovarian Cancer With Systemic Multiple Metastases Shows Marked Shrinkage Using a Combination of Wilms' Tumor Antigen 1 (WT1) Dendritic Cell Vaccine, Natural Killer (NK) Cell Therapy, and Nivolumab[J]. Cureus, 2024, 16(3).


























