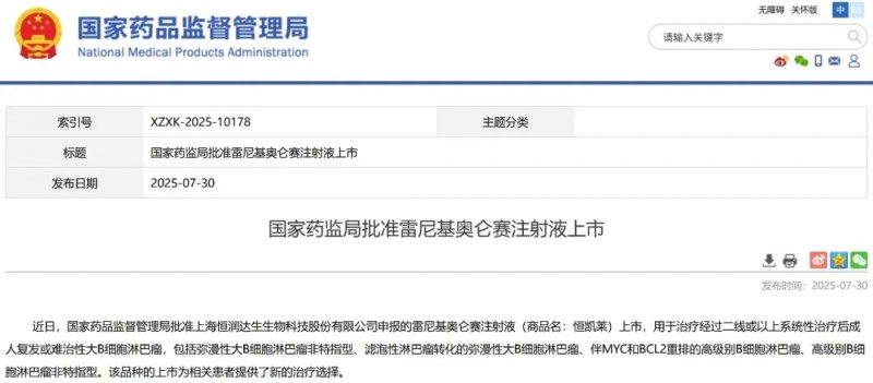
90%控病率刷屏!多款国研首创CAR-T细胞疗法集结,从处方落地+密集获批,横跨胃肠癌/肺癌/血癌等
雷尼基奥仑赛注射液(商品名:恒凯莱®,英文商品名:HICARA®)是恒润达生自主研发的一款CD19 CAR-T产品,作为首款国产治疗复发或难治性大B细胞淋巴瘤(r/r LBCL)的CAR-T药物,已于今年7月获得中国国家药品监督管理局正式批准。
如今雷尼基奥仑赛从临床试验到处方落地,复旦大学附属中山医院血液科作为其注册临床试验的组长单位,全程主导并深度参与了临床试验,见证了该药从临床研究到商业化落地的每一个关键里程碑!这一突破既彰显了国产创新药的硬核实力,也为更多困境中的患者点亮希望,开启抗癌治疗的全新征程!

国产首款雷尼基奥仑赛!为复发或难治性大B细胞淋巴瘤患者带来持久缓解,最佳客观缓解率74.1%
雷尼基奥仑赛(商品名:恒凯莱®)是一款CD19靶向CAR-T细胞疗法,也是首款获批采用稳转细胞株病毒工艺的国产CAR-T产品。其通过基因工程改造T细胞,使其表达能特异性识别CD19的嵌合抗原受体(CAR),从而精准杀伤B细胞肿瘤。
该产品的研发与生产全程依托恒润达生自主知识产权的分子设计、独立构建的工艺质量体系及封闭化规模化生产平台,实现了CAR-T细胞从研发到生产的全流程国产化,打破了国外技术垄断。2025年7月30日,该药正式获得中国国家药品监督管理局批准上市,用于治疗经过二线或以上系统性治疗后,成人复发或难治性大B细胞淋巴瘤,包括弥漫性大B细胞淋巴瘤非特指型、滤泡性淋巴瘤转化的弥漫性大B细胞淋巴瘤、伴MYC和BCL2重排的高级别B细胞淋巴瘤、高级别B细胞淋巴瘤非特指型。

▲截图源自“NMPA”
此次获批基于关键II期临床试验(HRAIN01-NHL01-II)的振奋数据:研究共纳入81例基线ECOG评分0-1分的复发/难治性非霍奇金淋巴瘤(R/RNHL)患者,接受雷尼基奥仑赛(代号HR001)输注治疗后,中位随访时间达160天(范围7~454天)。
结果显示:患者3个月、6个月及最佳客观缓解率(ORR)分别为53.1%(95%CI:41.7-64.3)、45.7%(95%CI:34.6-57.1)、74.1%(95%CI:63.1-83.2);3个月、6个月及最佳完全缓解率(CRR)分别为32.1%(95%CI:22.2-43.4)、29.6%(95%CI:20.0-40.8)、49.4%(95%CI:38.1-60.7);中位缓解持续时间(DOR)为339天(95%CI:149-NE),中位无进展生存期(PFS)为176天(95%CI:91-NE)。

▲截图源自“AACR”
综上,R/R NHL患者可从HR001治疗中显著获益,获得令人满意的客观缓解、持久缓解效果及良好安全性。
中国首款儿童白血病CD19 CAR-T普基奥仑赛获批,98.27% MRD阴性率
除了开篇提到的雷尼基奥仑赛注射液,本月7日,我国另一款国研CAR-T产品——普基奥仑赛注射液(研发代码pCAR-19B,商品名:普利得凯®),也获得中国国家药品监督管理局(NMPA)优先审评及附条件批准。该药物适用于治疗3~21岁CD19阳性的难治或复发急性B淋巴细胞白血病(首次缓解12个月后复发的患者需先接受挽救化疗),成为中国首款针对儿童及青少年R/R B-ALL的CAR-T细胞治疗药物,成功填补了该领域的治疗空白。
普基奥仑赛注射液由重庆精准生物研发,是一款自体CAR-T细胞产品,核心优势在于优化的人源化CD19特异性单链可变区片段(scFv),专为提升治疗安全性设计。
知名血液学期刊《Blood》已发表其关键性II期临床试验(NCT05334823)的振奋数据,该研究是首个聚焦亚洲人群儿童B-ALL的相关试验。
结果显示:该产品最佳客观缓解率(ORR)达90.63%(58/64),其中78.13%(50/64)实现完全缓解(CR),12.5%(8/64)达到伴不完全血细胞恢复的完全缓解(CRi),疗效优于已上市的同类抗CD19 CAR-T疗法;98.27%(57/58)的缓解患者达到微小残留病(MRD)阴性。此外,3个月时ORR为76.56%(49/64),中位缓解持续时间(DOR)10.61个月(95%Cl:7.66-20.96),中位总生存期(OS)为23.92个月(95%Cl:9.86-未达到)。
综上,即便面对患者骨髓原始细胞负荷高、高危基因变异比例高等不利情况,普基奥仑赛仍展现出高缓解率、高MRD阴性率、持久疗效及良好安全性,为中国R/R B-ALL患儿及青少年患者提供了全新治疗选择。

▲截图源自“Blood”
全球首个实体瘤CAR-T舒瑞基奥仑赛,撕开胰腺癌/胃癌新缺口,疾病控制率高达91.8%
除了上述两款已获批上市的国研CAR-T疗法,我国在实体瘤CAR-T领域再传捷报。据2025年11月14日“OncLive”报道,我国自主研发的靶向claudin18.2(CLDN18.2)自体嵌合抗原受体T(CAR-T)细胞疗法——舒瑞基奥仑赛注射液(satri-cel,CT041,satricabtagene autoleucel),作为全球首个拟用于实体瘤的CAR-T疗法,在胰腺导管腺癌(PDAC)治疗中显示出初步疗效。
其相关1b期试验(NCT05911217)数据已在2025年ESMO大会公布,结果显示:中位随访6.05个月(四分位间距4.04-8.38个月),6例接受satri-cel辅助治疗的患者中,仅1例出现疾病复发,其余患者截至2025年4月11日数据截止日期仍处于无病状态。其中1例完成52周随访的患者持续无复发,83.3%的患者输注后CA19-9水平显著下降,降幅介于51.3%~96.1%之间,长期生存趋势令人鼓舞。
除胰腺癌外,舒瑞基奥仑赛在CLDN18.2阳性晚期胃肠道癌治疗中,也展现出良好的耐受性与疗效。2024年《Nature Medicine》发表了其1期临床试验(CT041-CG4006,NCT03874897)最终结果:98例治疗患者的疾病控制率(DCR)达91.8%,总体缓解率(ORR)为38.8%,中位无进展生存期(PFS)4.4个月(95%CI,3.7-6.6),中位总生存期(OS)8.8个月(95%CI,7.1-10.2)。
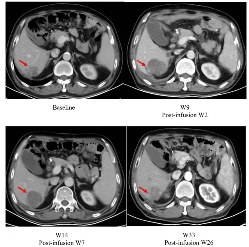
除此之外,2025年美国临床肿瘤学会(ASCO)大会上,其2期临床试验(CT041-ST-01)重磅数据更新,一个典型案例引发关注:患者输注satri-cel后第2周肝脏病灶虽较基线增大,但后续随访中持续缩小,至第26周已小于基线水平,直观印证了疗法的持续抗肿瘤活性。

▲图源“The Lancet”,版权归原作者所有,如无意中侵犯了知识产权,请联系我们删除
国产首个CEA靶向CAR-T,晚期肺癌治疗新标杆,DCR 93%+OS率71.1%
2025年美国ASCO大会上,我国自主研发的国内首个获临床试验许可的CEA靶向CAR-T产品C-13-X,公布了其治疗晚期转移性非小细胞肺癌(NSCLC)的Ⅰ期临床试验(NCT060006390)振奋数据。该研究共纳入15例经多线治疗失败的难治性晚期NSCLC患者,所有患者均接受C-13-X输注并纳入最终疗效分析。
结果显示:入组患者1年总生存率(OS)高达71.1%,整体疾病控制率(DCR)达87%(13/15),其中肺部靶病灶DCR更是攀升至93%,客观缓解率(ORR)达47%(7/15)。值得关注的是,亚组分析表明,CEA表达水平≥30%的患者缓解趋势更为显著,这类人群能从C-13-X治疗中获得更突出的获益。
这一亮眼数据堪称肺癌治疗领域的重大突破,既为CAR-T疗法攻克实体瘤(尤其是晚期肺癌)提供了强有力的初步证据,更给无数深陷治疗困境的肺癌患者点亮了全新的生存希望!
除了上面提到的癌种及靶点外,目前还有多款CAR-T临床实验正在火热招募中,主要针对Claudin18.2、GPC3、GUCY2C、PSMA、CEA、间皮素(mesothelin)、MUC-1、BCMA、CD1、CD20等靶点。以及胰腺癌、胃癌、肝癌、结直肠癌、神经胶质瘤、肺癌、多发性骨髓瘤、多发性骨髓瘤、弥漫大B细胞淋巴瘤等癌种。
做过基因检测的患者,可自行查看基因检测报告,一旦发现存在上述突变,可将近期病理报告、基因检测报告等资料汇总后,提交至医学部,初步评估是否有机会参加相关临床试验。一旦审核通过,有机会获得”天价“疗法免费治疗的机会。看不懂检测报告或想要明确相关靶点的患者,也可联系全球肿瘤医生网医学部,详细解读报告或了解检测详情。
CEA CAR-T攻坚结直肠癌!70%患者病情稳定,部分疗效持续超7个月
癌胚抗原(CEA)是胃肠道癌症的高灵敏度标志物,在结直肠癌(CRC)的组织及血清中广泛表达。其核心优势在于,除胃肠道恶性肿瘤外,CEA仅在上皮细胞面向管腔的顶端膜面低水平表达,且该区域难以被免疫细胞触及——这一特性让CEA成为CAR-T疗法的理想靶点。优先适用人群涵盖治疗失败、术后复发高风险及CEA指标异常的患者,可覆盖结直肠癌、非小细胞肺癌、乳腺癌、胃癌、胰腺癌等多种癌症。
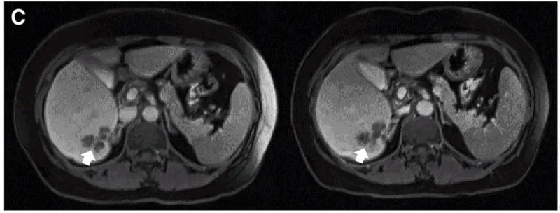
我国开展的一项“CEA靶向CAR-T细胞疗法治疗CEA阳性结直肠癌的I期临床试验(NCT02349724)”,结果振奋人心:10例既往治疗进展(PD)的患者中,7例治疗后达到病情稳定(SD)(肿瘤直径仅轻微变化),其中2例稳定状态持续超30周(7.5个月)。
值得一提的是,典型病例P10患者在接受DL4剂量CEACAR-T治疗后,MRI证实其肝内一处病灶明显缩小,左图为治疗前影像,右图为治疗4周后影像对比。

▲图源“Molecular Therapy”,版权归原作者所有,如无意中侵犯了知识产权,请联系我们删除
小编寄语
CAR-T细胞疗法经过数十年的发展,已成为肿瘤治疗领域的新兴支柱,作为肿瘤免疫细胞疗法中的佼佼者,在治疗血液肿瘤方面的成绩有目共睹,国内外相继有多款产品获批上市。CAR-T疗法的出现打破了传统的肿瘤治疗模式,肿瘤免疫疗法也成为了继手术、放化疗后的第四类肿瘤治疗方法。期待其在血液肿瘤和实体瘤的治疗领域,能取得更大的突破,并早日纳入医保范畴,让越来越多的癌症患者能得到这款“天价”疗法的帮助!
想明确自身靶点或寻求CAR-T等新型疗法帮助的患者,可将完整的病理报告、治疗经历等资料,提交至医学部,进行初步评估,或申请国外内抗癌专家会诊。
参考资料
[1]Zhang Y,et al.Abstract CT244: HR001, a novel CD19-targeted CAR-T cell therapy for patients with relapsed/refractory non-Hodgkin's lymphoma: primary results of a phase II study (HRAIN01-NHL01-II)[J]. Cancer Research, 2024, 84(7_Supplement): CT244-CT244.
https://aacrjournals.org/cancerres/article/84/7_Supplement/CT244/742315/Abstract-CT244-HR001-a-novel-CD19-targeted-CAR-T
[2]Zhang R,et al.A Phase 2 Clinical Trial of Anti-CD19 CAR-T (pCAR-19B) in Chinese Pediatric and Young Adult with Relapsed/Refractory (R/R) CD19+ B-ALL: The First Pivotal Study in an Asian Population[J]. Blood, 2024, 144: 4205.
https://ashpublications.org/blood/article/144/Supplement%201/4205/532428/A-Phase-2-Clinical-Trial-of-Anti-CD19-CAR-T-pCAR
[3]https://www.onclive.com/view/adjuvant-satri-cel-displays-preliminary-activity-in-pancreatic-ductal-adenocarcinoma


























