2025年12月11日国家药监局批准CDK2/4/6抑制剂库莫西利胶囊(TQB3616、Culmerciclib)用于乳腺癌
2025年12月11日,正大天晴自主研发的1类创新药——库莫西利,正式获得国家药品监督管理局(NMPA)批准上市,与氟维司群联合用于既往接受过内分泌治疗的激素受体(HR)阳性、人表皮生长因子受体2(HER2)阴性局部晚期或转移性乳腺癌的治疗。
这一国产创新药的上市意义重大:它不仅填补了HR+/HER2-晚期乳腺癌经治患者的治疗空白,更给曾陷入“无药可选”困境的患者点亮了新希望,这款结合了国产创新力量的治疗方案,将为她们的长期生存、生活质量提升注入强劲动力,也让乳腺癌治疗领域的“中国方案”再添重要一笔!

▲截图源自“NMPA”
全球首个口服CDK2/4/6抑制剂-库莫西利两次获批,破解乳腺癌CDK4/6耐药难题
库莫西利胶囊(Culmerciclib,代号TQB3616)是正大天晴自主研发的一款新型CDK2/4/6抑制剂,可同时抑制CDK2、CDK4、CDK6激酶活性,且对CDK4激酶的抑制能力尤为突出——这一特性使其有望破解当前临床中CDK4/6抑制剂的耐药难题,为乳腺癌治疗提供新的机制突破口。在适应症拓展上,该药进展迅速:
2025年7月9日,其第二项适应症上市申请获受理,新增适应症为:联合氟维司群注射液,用于HR+/HER2-局部晚期或转移性乳腺癌患者的初始内分泌治疗。
仅时隔5个月,即2025年12月11日,该药再添新适应症并获中国批准——此次获批适应症聚焦“既往接受过内分泌治疗的HR+/HER2-局部晚期或转移性乳腺癌”,同样采用“联合氟维司群”的治疗方案。
从初始治疗到经治患者,库莫西利通过适应症的逐步拓展,持续覆盖HR+/HER2-晚期乳腺癌不同治疗阶段的需求,为临床提供了更灵活的用药选择。
2024 CSCO年度突破!库莫西利Ⅲ期阳性:HR+/HER2-乳腺癌ORR超40%,死亡风险降64%,PFS延长9.16个月
在2024年中国临床肿瘤学会(CSCO)学术年会上,正大天晴以口头报告形式,公布了库莫西利(Culmerciclib,代号TQB3616)针对“内分泌经治HR+/HER2-晚期乳腺癌”的III期临床研究(TQB3616-III-01)最新成果——该研究是全球首个“口服CDK2/4/6抑制剂联合内分泌治疗HR+/HER2-晚期乳腺癌”获得阳性结果的III期临床试验,意义重大。结果显示如下:
1、客观缓解率(ORR)显著提升:库莫西利联合治疗组的确认ORR为40.21%,远超对照组的12.12%;在有可测量病灶的患者群体中,这一优势更明显——试验组确认ORR达46.43%,对照组仅14.12%。
2、中位无进展生存期(PFS)大幅延长:库莫西利联合氟维司群组的中位PFS达16.62个月,而安慰剂联合氟维司群组仅为7.46个月。相较于对照组,试验组中位PFS延长9.16个月,疾病进展/死亡风险显著降低64%(风险比HR=0.36,p<0.0001,详见下图)。

▲图源“CSCO”,版权归原作者所有,如无意中侵犯了知识产权,请联系我们删除
三大免疫疗法重拳出击乳腺癌,从控病率83%到22个月持续完全缓解
近年来,针对难治性实体瘤的免疫疗法持续突破,neoTCR疗法、TIL联合疗法及NK细胞疗法相继传来亮眼成果,尤其为乳腺癌患者点亮治疗新方向。
neoTCR疗法首战告捷:乳腺癌病灶缩小17%
T细胞受体(TCR)是T细胞特异性识别癌细胞突变的核心分子,基于此开发的neoTCR疗法,借助CRISPR–Cas9非病毒精准基因组编辑技术,可同时敲除T细胞内编码TCRα的TRAC基因与编码TCR β的TRBC基因(即内源性TCR基因),从而精准靶向肿瘤突变新抗原。
目前,该疗法的Ia期首次人体临床试验(NCT03970382)数据已公布:研究共纳入16例难治性实体瘤患者,涵盖11例微卫星稳定型结直肠癌、2例激素受体阳性乳腺癌、1例卵巢癌、1例黑色素瘤及1例肺癌,患者中位年龄47岁(36-70岁),既往已接受中位5线治疗(2-9线),均属于临床难治人群。所有患者按剂量分为3组,接受对应剂量的neoTCR转基因T细胞输注。
结果显示:该疗法的最佳疗效为病情稳定(SD),共5例患者达到这一终点,同时证实了“高效分离并克隆多种识别突变新抗原的TCR”的可行性。其中,剂量水平1组的0010号转移性乳腺癌患者尤为典型:该患者此前已接受7种疗法,输注neoTCR后第28天,靶病灶最大直径总和较基线减少17%,研究推测这一疗效或与预处理方案中的高剂量环磷酰胺相关。
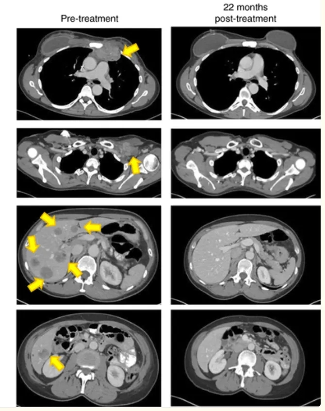
TIL联合疗法创奇迹:难治性乳腺癌患者肿瘤全消退,完全缓解超22个月
《Nature Medicine》曾报道一则振奋人心的案例(NCT01174121):一名49岁女性患者,确诊为雌激素受体(ER)阳性、HER2阴性转移性乳腺癌,且对多种化疗(卡培他滨、长春瑞滨、多西他赛、阿霉素、环磷酰胺)及内分泌疗法耐药,治疗陷入绝境。
患者病史显示:最初诊断为导管原位癌,术后10年出现多部位淋巴结复发(ER+、PR部分阳性),后续胸壁肿块活检提示ER+、PR-、HER2-,且在Lucitanib(德立替尼)治疗期间病情进展。最终,入组临床试验后,研究团队先切除其转移性皮下病变(ER-、PR-、HER2-),鉴定肿瘤突变并制备特异性肿瘤浸润淋巴细胞(TIL);治疗前4个月,患者还接受了依维莫司预处理,随后联合白细胞介素-2(IL-2)与检查点阻断疗法进行治疗。
疗效结果远超预期:TIL回输后6周,患者靶肿瘤负荷减少51%;回输22个月时,所有靶病变及非靶病变均实现放射学完全消退(详见下图),截至报道时完全缓解状态已持续超22个月。

▲图源“Nat Med”,版权归原作者所有,如无意中侵犯了知识产权,请联系我们删除
国内首个NK细胞乳腺癌对比试验结果出炉:异体NK疾病控制率 83%,单例患者2个月肿瘤显著缩小
我国暨南大学研究团队开展了国内首个“对比自体与同种异体NK细胞治疗复发性乳腺癌”的临床试验(NCT02853903),为乳腺癌治疗提供了本土化创新方案。
该研究共入组36例经组织病理学确诊的复发性乳腺癌患者,按RECIST评价标准分析,同种异体NK细胞组(Ⅱ组)疗效显著优于自体NK细胞组(Ⅰ组):Ⅱ组中3例(16.67%)患者达到部分缓解(PR),12例(66.67%)达到疾病稳定(SD),疾病控制率(DCR)达83%;Ⅰ组仅1例(5.56%)达PR(P<0.05),10例(55.56%)达SD(P>0.05)。初步结果不仅证实了NK细胞疗法的有效性,还显示部分患者肿瘤显著缩小,生活质量同步提升。
其中,1例46岁乳腺癌患者的疗效极具代表性:治疗前CT显示,其右乳存在8.0×3.8×5.7cm边界不清的软组织肿块(增强CT呈中度不均匀强化),腋窝有多处肿大淋巴结(较大者约2.9×1.7×3.8cm);接受NK细胞治疗2个月后,右乳肿块缩小至6.8×3.5×5.8cm(呈轻度不均匀强化),腋窝较大肿大淋巴结亦明显缩小,疗效直观可见(详见下图)。

▲图源“Dovepress”,版权归原作者所有,如无意中侵犯了知识产权,请联系我们删除
综上,从neoTCR疗法突破实体瘤靶向瓶颈,到TIL联合疗法实现乳腺癌长期完全缓解,再到国内NK细胞疗法展现本土化优势,三大免疫疗法正从不同维度破解难治性实体瘤的治疗困局,为更多陷入“无药可用”的患者带来持久生存的新希望。
小编寄语
近年来,乳腺癌的治疗已经取得了长足的进展,逆转了晚期患者的生存期,除了上面整理的内容,还有更多的新药正在研发中。如果您对现有治疗方案不满意,或想了解乳腺癌更多抗癌新药/新技术的更多讯息,可将治疗经历、近期病理检查报告、出院小结等,提交至医学部,进行初步评估。
参考资料
[1]Foy S P,et al.Non-viral precision T cell receptor replacement for personalized cell therapy[J]. Nature, 2023, 615(7953): 687-696.
https://www.nature.com/articles/s41586-022-05531-1#citeas
[2]Zacharakis N,et al.Immune recognition of somatic mutations leading to complete durable regression in metastatic breast cancer. Nat Med. 2018 Jun;24(6):724-730.
https://pmc.ncbi.nlm.nih.gov/articles/PMC6348479/
[3]Liang S,et al.Comparison of autogeneic and allogeneic natural killer cells immunotherapy on the clinical outcome of recurrent breast cancer. Onco Targets Ther. 2017 Aug 28;10:4273-4281.
https://www.dovepress.com/comparison-of-autogeneic-and-allogeneic-natural-killer-cells-immunothe-peer-reviewed-fulltext-article-OTT
[4]https://www.sinobiopharm.com/userfiles/files/E24090183-Sino%20Bio-PA.pdf


























