TCR-T细胞疗法SCG101治疗乙肝相关肝癌控病率高达66.7%
肝细胞癌(HCC)约占所有原发性肝癌的75%-85%,是肝癌中最致命的亚型,而乙型肝炎病毒(HBV)感染正是其核心诱因——目前HBV已威胁全球超2.5亿人的健康,近50%-80%的HCC病例均由HBV感染引发。2020年,全球新增HCC患者超90.5万例。更棘手的是,HCC早期症状极具隐匿性,多数患者确诊时已进展至晚期,导致五年生存率长期低于15%,临床对新疗法的需求极为迫切。
如今,SCG101 TCR-T疗法的出现为HBV相关HCC患者带来了转机。这款自体T细胞疗法通过稳定表达天然高亲和力T细胞受体,可精准靶向HBV相关癌细胞。
《肝病学》杂志报道了其针对HBV相关HCC的临床研究(NCT05339321):在HBV相关肝细胞癌(HBV-HCC)患者的单药治疗中,SCG101不仅展现出显著的抗病毒与抗肿瘤活性,且安全性良好,为这类曾陷入治疗困境的难治性肝癌患者,开辟了新的治疗方向。
SCG101:同步绞杀癌细胞和HBV病毒的"双效利刃"
SCG101是全球首个在乙型肝炎病毒(HBV)相关肝细胞癌(HCC)中,同步实现病毒清除与肿瘤消退的TCR-T细胞疗法。它依托专有GianT™TCR筛选平台,可精准识别由主要组织相容性复合体(MHC)呈递的乙肝表面抗原(HBsAg)特定表位,兼具三大核心优势:
1、精准双效杀伤:不仅能高效清除HBV-DNA整合的癌前病变细胞及HBV-HCC肿瘤细胞,还可特异性杀伤HBV感染的肝细胞,实现“癌毒同杀”。
2、长期保护效应:回输后可诱导形成特异性记忆T细胞亚群,具备长期自我更新能力,持续强化抗病毒与抗肿瘤双重作用,避免疗效衰减。
3、源头阻断进展:通过触发溶细胞与非溶细胞双重机制,同步清除HBV共价闭合环状DNA(cccDNA)及整合HBV-DNA的病变细胞,从根源切断病毒复制链条与肿瘤进展路径。
SCG101的突破性意义,在于打破了HBV相关HCC“癌毒共生”的临床困局——通过靶向HBV抗原,它实现了两大关键疗效:首先,病毒学深度应答:针对传统核苷(酸)类似物耐药或应答不佳的患者,展现出乙肝表面抗原(HBsAg)的持续清除能力,解决了病毒难以根除的痛点。其次,肿瘤免疫激活:在经多线治疗的难治性晚期患者中,可诱导近半数病例出现肿瘤退缩,为原本缺乏有效方案的HBV相关HCC患者,开辟了新的治疗窗口。

▲图源“BMJ”,版权归原作者所有,如无意中侵犯了知识产权,请联系我们删除
SCG101 TCR-T实现BV肝癌双向逆转:疾病控制率66.7%,单剂创"肿瘤缩 74.5%+病毒清零"双奇迹
该研究共纳入6例HLA-A*02:01阳性、肝功能稳定(Child-PughA级)且慢性乙型肝炎(CHB)处于非活动期的晚期HBV相关HCC成人患者。受试者中位年龄46.0岁,平均确诊HCC时长3.1年(范围1.2-5.7年),其中4例合并肝硬化;入组前,所有患者均接受过酪氨酸激酶抑制剂(TKI)治疗,4例还曾使用免疫检查点抑制剂(ICI),且均经1-3线全身治疗失败。治疗流程为:患者先接受淋巴清除预处理,3天后单药输注SCG101TCR-T细胞。
结果显示:依据改良实体瘤疗效评价标准(mRECIST),6例患者中有3例实现肿瘤缩小,靶病灶最佳缩小百分比分别为-19.5%、-74.6%、-100%:其中1例达到完全缓解(CR),无进展生存期(PFS)长达27个月;2例达到部分缓解(PR),缓解持续时间分别为8.0个月和≥9.5个月(详见下图C);另有2例维持病情稳定(详见下图B)。


▲图源“BMJ”,版权归原作者所有,如无意中侵犯了知识产权,请联系我们删除
最终研究的客观缓解率(ORR)达33.3%,疾病控制率(DCR)达66.7%。全组中位无进展生存期(PFS)为12.8周,其中1例患者在数据截止时,无进展状态已超2年(含非靶病灶,详见下图D);中位随访10.9个月时,2例患者输注SCG101后存活超2年。值得关注的是,ST1301患者的靶病灶位于肺部(靶肽存在情况不明),输注后18个月,该病灶在初期轻微缩小后出现显著退缩,同时检测到SCG101 T细胞重新出现,进一步印证了疗法的持久活性。

▲图源“BMJ”,版权归原作者所有,如无意中侵犯了知识产权,请联系我们删除
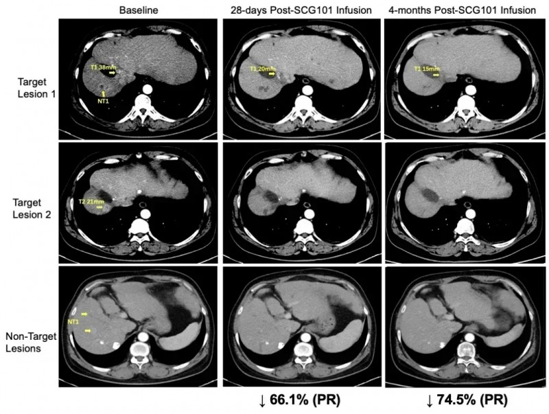
事实上,早在2023年法国巴黎国际细胞与基因治疗大会(ISCT)上,就已公布过SCG101TCR-T治疗HBV相关肝细胞癌的突破性案例——一位患者接受单剂SCG101治疗后,上演了“肿瘤缩小+病毒清除”的双向逆转奇迹。
具体结果表现为:治疗第28天靶病灶较基线缩小66%,率先达到部分缓解(PR)标准;治疗第4个月,肿瘤进一步缩小至74.5%,另有一处病灶完全消失,截至数据统计时,患者无进展生存期已超6.9个月,且全程未联合任何其他抗肿瘤干预,成为“TCR-T单药扭转晚期肝癌病程”的标杆案例。

▲图源“SCG”,版权归原作者所有,如无意中侵犯了知识产权,请联系我们删除
此外,HBV病毒被高效清除,肝脏免疫组化分析显示,回输SCG101后,乙肝表面抗原阳性肝细胞实现100%清除;血清学指标更直观印证这一效果:HBsAg水平从输注前的557.96IU/mL,在第7天骤降至1.3IU/mL,第28天近乎清零(0.08IU/mL)(详见下图)。

▲图源“SCG”,版权归原作者所有,如无意中侵犯了知识产权,请联系我们删除
小编寄语
TCR-T疗法创新性地开创了“抗癌+抗病毒”双效合一的治疗范式。近年来,科研团队正加速探索其在病毒相关性实体瘤领域的应用,尤其随着2024年首款TCR-T细胞治疗产品成功获批上市,标志着这一前沿技术正式迈入临床应用阶段!我们期待未来有更多突破性抗癌疗法获批,助力实体瘤患者实现长期带瘤生存的希望。
更大的好消息是,多款在研TCR-T疗法正针对妇科肿瘤(宫颈癌、子宫内膜癌、卵巢癌)、头颈部肿瘤、乙肝相关肝癌、晚期葡萄膜黑色素瘤、鼻咽癌等开展临床试验,中国患者可有机会同步参与前沿治疗!如果您也想寻求TCR-T、CAR-T、TILs等新兴抗癌疗法的帮助,可以将近期病理检查结果、治疗经历等资料,提交至医学部,进行初步评估!
参考资料
[1]Wu X,et al.Clinical results of an HBV-specific T-cell receptor-T-cell therapy (SCG101) in patients with HBV-related hepatocellular carcinoma treated in an investigator-initiated, interventional trial[J]. Gut, 2025.
https://gut.bmj.com/content/early/2025/08/21/gutjnl-2025-335456


























