质子治疗肺癌控病率89%,5年生存率70%,九成患者仅出现轻微副作用
放射治疗是恶性肿瘤三大核心治疗手段之一,约60%~70%的恶性肿瘤患者在治疗全程需接受放射治疗。但传统X线放疗存在明显局限——其在靶向杀伤肿瘤细胞的同时,易累及周围正常组织细胞,由此产生的副作用常给患者带来额外身体负担,是临床治疗中需重点应对的问题。而质子疗法的出现,为患者带来了副作用更轻微、治疗更精准的新选择:该疗法于1988年获美国FDA批准,经过三十余年的临床应用与研究验证,已被公认为全球放疗领域的先进技术。
权威期刊《国际放射肿瘤学杂志》曾发表专项研究,针对质子放射疗法在非小细胞肺癌(NSCLC)患者中的临床疗效进行评估。结果证实,质子治疗对NSCLC患者是安全有效的治疗方案,尤其对早期NSCLC患者,既能精准控制肿瘤进展,又能保护肺功能等正常生理结构,治疗优势尤为显著,为患者争取到了更高的治疗获益与更优的生活质量!
质子疗法实现疗效/安全性双突破:肺癌IA期5年生存率70%,局部控制率高达89%
该研究共纳入51例非小细胞肺癌(NSCLC)患者,分期分布为I期28例、II期9例、III期8例、IV期1例,另有复发患者5例;病理类型方面,33例为鳞状细胞癌、17例为腺癌、1例为大细胞癌。所有患者均接受质子放射疗法治疗,中位单次剂量为3.0Gy(范围:2.0–6.0Gy),中位总剂量为76.0Gy(范围:49.0–93.0Gy)。
结果显示:所有患者的5年总生存率为29%;从分期差异来看,IA期9例患者的5年总生存率达70%,显著高于IB期19例患者的16%(IA期 vs IB期:p<0.05)。在局部控制率方面,IA期患者5年局部控制率89%同样优于IB期患者的39%。

▲图源“Int J Radiat Oncol Biol Phys”,版权归原作者所有,如无意中侵犯了知识产权,请联系我们删除
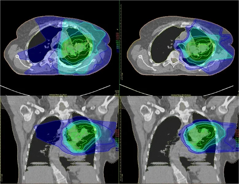
安全性数据表现优异:47例患者(92%)仅出现1级及以下急性肺毒性,仅3例为2级、1例为3级,无4级及以上急性肺毒性发生,且患者远期毒性反应极少。此外,既往研究针对局部晚期NSCLC患者的剂量分布分析也证实了质子治疗的安全性优势——与调强光子放疗(IMRT)相比,质子治疗对危及器官(OAR)的剂量显著更低:传统IMRT易使辐射波及肿瘤周围健康组织(详见下图左),而质子疗法可将大部分辐射精准集中于肿瘤靶区(详见下图右)。

▲图源“Trials”,版权归原作者所有,如无意中侵犯了知识产权,请联系我们删除
质子/重离子攻克传统放疗副作用难题,疗效更优、治疗负担更低
质子治疗(PT,又称质子束治疗PBT)是当前放射治疗领域的先进技术,作为体外放射治疗(EBRT)的重要方式,其核心优势源于独特的物理特性,疗效与安全性均优于传统电子或光子放疗。这一临床优势已得到多项研究明确证实:前瞻性试验及一项对比氦离子放疗与近距离放疗的随机III期试验表明,在治疗无法通过近距离放疗控制的葡萄膜黑色素瘤时,质子放疗效果显著优于传统放射治疗;儿童肿瘤更被明确列为质子放疗的重点适应症——凭借减少非靶组织剂量沉积的特点,可有效降低继发性恶性肿瘤风险。
值得注意的是,质子与重离子疗法虽同属粒子放射治疗,且均优于传统放射治疗,但二者在物理特性、治疗操作及生物效应上存在显著差异。
首先从共性来看,二者物理特性与X射线截然不同:粒子在减速过程中会释放更多能量,到达特定深度后释放全部能量,后续几乎无辐射残留。这种“布拉格峰”剂量分布能在保障疗效的同时,最大限度减少肿瘤周围健康组织损伤,进而减轻患者治疗负担与不适感,在部分癌症治疗中还能提升肿瘤控制率与生存率。具体差异体现在两方面:
其一,物理特性与治疗操作层面。重离子疗法以碳离子束的应用最广泛且已实现商业化,但因其原子核更大更重,离子束的操控难度远高于质子;质子疗法多采用旋转机架系统,可灵活选择最佳治疗角度,而国内目前唯一可用的重离子疗法为固定束系统,需通过移动患者实现精准定位,既对患者配合度要求更高,也增加了治疗的复杂性与不确定性。
其二,生物效应与治疗疗程层面。质子束的细胞杀伤方式及破坏力与X射线相近,通常需在4-8周内进行20-40次治疗:多次治疗既能让治疗区域的正常组织获得修复时间,又能促使肿瘤“重新氧合”以提高辐射敏感性,最终提升疗效;重离子束的细胞杀伤机制则与X射线完全不同,破坏力更强,且无需依赖肿瘤“重新氧合”来提升敏感性。

小编寄语
放射治疗始终是众多癌症患者极为关键且必不可少的一种治疗途径。尽管随着IMRT(调强放射治疗)和VMAT(容积旋转调强放疗)等放疗技术的持续发展与进步,对健康组织所造成的损害在一定程度上有所减轻,然而持久的副作用却依然如影随形。
而质子治疗不但能够取得与传统放疗平分秋色的治疗成效,还能够进一步削减对邻近健康组织所产生的不良影响,有助于提升患者在治愈之后的生存质量。当前,质子治疗主要被应用于儿童脑部和脊柱肿瘤的治疗领域,例如胶质瘤、室管膜瘤、神经母细胞瘤等这类所处位置较为特殊、手术切除难度颇高的实体瘤。若患者及家属有意寻求质子治疗方面的协助与支持,可联系医学部,为患者进行权威的质子方案评估。
参考资料
[1]Shioyama Y,et al.Clinical evaluation of proton radiotherapy for non–small-cell lung cancer[J]. International Journal of Radiation Oncology* Biology* Physics, 2003, 56(1): 7-13.
https://www.redjournal.org/article/S0360-3016(02)04416-4/abstract
[2]Schulz-Ertner D,et al.Particle radiation therapy using proton and heavier ion beams[J]. Journal of clinical oncology, 2007, 25(8): 953-964.
https://ascopubs.org/doi/10.1200/JCO.2006.09.7816


























