帮助近90%患者肿瘤显著缩小,新一代TRK抑制剂佐来曲替尼(宜诺欣、ICP-723)震撼上市
“7天腹痛消失,外周血 ctDNA 快速清零,密密麻麻的肿瘤持续消退!”9岁男孩绝境重生的奇迹,终于有了可复制的希望!

近日,中国国家药品监督管理局(NMPA)正式批准诺诚健华自主研发的新一代TRK抑制剂宜诺欣®(佐来曲替尼,ICP-723)上市,用于治疗携带NTRK融合基因的成人和12岁以上青少年实体瘤患者。这是中国首款上市的自主研发的新一代TRK抑制剂,不分癌种、不限部位,从肺癌、肉瘤到儿童罕见肿瘤,超26种癌症患者都能受益,更能破解第一代药物耐药、脑转移的治疗困局,89.1%的总缓解率、90.8%的2年生存率,为国内约6500名每年新发的NTRK融合阳性肿瘤患者,递上了“精准治愈”的国研答卷!

直击人心的抗癌奇迹:从病危到无癌,国研药创造生机
NTRK融合基因就像肿瘤的“致命引擎”,一旦激活便驱动癌细胞疯狂增殖,且不挑癌种、不辨年龄,很多患者确诊时已出现全身转移,传统治疗束手无策。而佐来曲替尼的出现,让一个又一个绝望家庭重获新生:
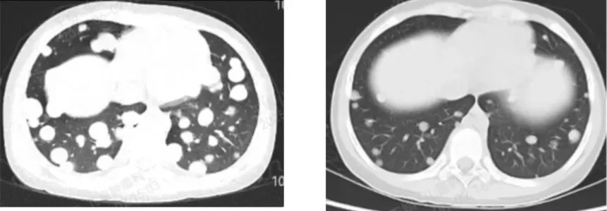
7天显效,恶性梭形肉瘤重获新生
9岁的小宇(化名)突发剧烈腹痛,检查后发现腹腔长了一个6.7×4.3×12.1cm的巨大梭形细胞恶性肿瘤,癌细胞已转移至肝、肺、胰腺等多个器官,化疗后病情仍持续恶化,医生告知家长“生存希望渺茫”。绝境中,基因检测发现TPM3-NTRK1融合这一“救命靶点”,小宇顺利入组佐来曲替尼临床试验。奇迹只用了7天就降临:腹痛完全消失,提示肿瘤活性的ctDNA直接清零;2程治疗后复查,肿瘤明显缩小达到“部分缓解”;一年后再查,下腔静脉肿瘤缩至3.4×1.9×7.7cm,胰腺结节消失,肺转移灶也缩小到0.7×0.5cm,至今仍在持续好转。
涎腺肿瘤缩小50%以上
12岁男孩确诊涎腺源性肿瘤,肿瘤大到52×41×62mm,累及下颌骨无法手术,用上佐来曲替尼仅3天,肿瘤就明显缩小,15天后消退效果更显著,一年后肿瘤缩小超一半,顺利完成手术切除。

1代NTRK抑制剂耐药,ICP-723治疗后肿瘤显著缩小
一位软组织恶性梭形细胞肿瘤伴肺部转移的患者,基因检测显示ETV6-NTRK3融合,接受化疗和9个周期的第一代TRK抑制剂后出现疾病进展。在国内接受5个周期ICP-723的治疗后,肺部非靶病灶明显缩小、右大腿靶病灶达到手术条件,右大腿病灶手术切除后病理提示已未见肿瘤组织。

这些并非个例,关键注册临床试验数据给出了更震撼的印证:佐来曲替尼治疗NTRK融合阳性实体瘤的总缓解率(ORR)高达89.1%,意味着近9成患者用药后肿瘤显著缩小;疾病控制率(DCR)达96.4%,几乎所有患者的病情都能得到有效控制;24个月无进展生存(PFS)率77.4%,24个月总生存(OS)率90.8%,相当于超9成患者能存活两年以上,部分患者的最长缓解时间已超36个月。
新一代NTRK靶向药为什么这么强,四大核心优势碾压初代
作为中国自主研发的新一代TRK抑制剂,佐来曲替尼在疗效、耐药性、入脑能力和便利性上全面升级,成为NTRK融合阳性肿瘤治疗的新标杆,更是精准狙击癌症的“国研利器”:
1、疗效更强,深度缓解更持久。第一代TRK抑制剂的整体缓解率约75%,而佐来曲替尼将这一数据提升至89.1%,且24个月无进展生存率达77.4%,显著延长患者无癌生存时间。其对TRKA、TRKB、TRKC三种NTRK蛋白的抑制更精准、强效,很多患者1-2个疗程就能看到肿瘤缩小,为危重患者争取关键治疗窗口。
2、攻克耐药,复发患者也能续命。第一代TRK抑制剂使用后,部分患者会因TRKA基因G595R、G667C突变或MAPK通路激活产生耐药。佐来曲替尼的分子结构经精准优化,专门针对这些耐药突变设计,临床数据显示,对第一代药物耐药的患者,换用佐来曲替尼后实现部分缓解,打破耐药僵局。
3、透脑活性强,脑转移不再无药可医。脑转移是NTRK融合阳性肿瘤患者的常见致命难题,佐来曲替尼具备出色的血脑屏障穿透能力,能精准直达脑部病灶。
对患者的重大意义:终结进口依赖,全年龄段覆盖可期
佐来曲替尼的获批,不仅是中国精准医疗领域的重大突破,更从根本上改变了患者的治疗格局:
一是终结“罕见靶点无药可用、依赖进口”的困境。中国每年新发NTRK融合阳性肿瘤患者约6500例,此前多依赖进口药物,部分患者因耐药或经济压力放弃治疗。佐来曲替尼的上市,填补了国内新一代TRK抑制剂空白,本土化研发更有望提升药物可及性,让更多普通患者用得起、用得上。
二是“不限癌种”治疗理念落地,惠及超26种实体瘤。无论肿瘤原发于肺、乳腺、结直肠还是软组织,无论成人还是青少年,只要存在NTRK融合基因,就能从治疗中获益。这一“异病同治”模式,打破传统癌症治疗按器官分类的界限,让罕见癌种、小众肿瘤患者也能获得精准治疗。
三是全年龄段覆盖在即,儿童患者将受益。佐来曲替尼针对2岁至12岁儿童患者的注册临床试验进展顺利。2025年国际儿童肿瘤学会(SIOP)年会上公布的数据显示,儿童和青少年患者的客观缓解率达90%,期待尽快提交上市申请,填补儿科治疗空白。
NTRK靶向药申请指南:快速找到"救命药"
目前,佐来曲替尼的临床应用正在快速推进,从检测到用药、从成人到儿童,全流程对接路径已清晰,患者可按以下指南精准找到治疗方向:
第一步:先做基因检测,确认靶点是核心前提 NTRK融合基因的检测是使用佐来曲替尼的关键。建议通过下一代测序(NGS)检测,这是目前的金标准,能精准识别NTRK1、NTRK2、NTRK3基因与其他基因的融合。
第二步:按人群对接治疗/临床试验。
1)成人及12岁以上青少年:直接凭NTRK融合阳性检测报告,评估后匹配适合的方案;
2)2-12岁儿童:可关注NTRK儿童适应症临床试验,通过临床试验牵头单位等专业平台提交病历资料(病理报告、基因检测报告、既往治疗方案),完成初步评估后即可申请入组;
3)第一代TRK抑制剂耐药患者直接咨询评估匹配新一代靶向药。
从7天显效的儿童患者,到耐药后重生的成人患者,佐来曲替尼的获批上市,标志着中国NTRK融合阳性肿瘤治疗正式进入“国研自主、精准高效”的新时代。这款不分癌种、能破耐药、可入脑的国研神药,正在改写更多患者的命运。相信随着儿童适应症的获批和医保的覆盖,会有越来越多家庭迎来抗癌胜利的曙光!





















