TIL细胞疗法凭借25.6%的缓解率+71.8%的控瘤率,为多种癌症的患者按下生命续航键
2025年11月3日,Iovance官网披露II期IOV-LUN-202试验中期数据:既往接受过治疗的晚期非鳞状非鳞状非小细胞肺癌(NSCLC)患者,接受Lifileucel单药治疗后,客观缓解率达25.6%;经25.4个月随访,中位缓解持续时间未达,较标准治疗多西他赛展现出“前所未有的疗效持久性”。
目前晚期NSCLC患者初始免疫治疗后可选方案少,缺乏高缓解率且持久的疗法。而Lifileucel以“单次单药治疗”为这类难治性患者带来新希望,展现出潜在同类最佳临床疗效。据悉,该疗法将在2026年医学会议上披露更多试验数据,后续将提交补充生物制品许可申请(BLA),若顺利的话2027年下半年有望面向“既往接受过治疗的晚期非鳞状NSCLC患者”上市,填补临床治疗空白,为更多患者提供有效治疗选择!

▲截图源自“Iovance官网”
Lifileucel单药ORR 25.6%+DCR 71.8%,照亮晚期肺癌患者持久生存路,住院天数减半+疗效升级
肺癌是全球最常见癌症及主要癌症死因,每年新增约250万例、死亡约180万例。其中85%为非小细胞肺癌(NSCLC),非鳞状NSCLC占NSCLC的75%;晚期NSCLC患者经“免疫检查点抑制剂+化疗”初始治疗后,后续选择有限,仅能接受疗效短暂的化疗,临床急需新疗法。
Lifileucel是一种肿瘤浸润淋巴细胞(TIL)疗法,IOV-LUN-202II期临床试验(NCT04614103)为全球性、非随机、开放标签、多队列前瞻性注册研究,旨在评估其单药治疗效果。入组人群为既往接受过化疗后病情进展的非小细胞肺癌(NSCLC)患者,按PD-L1水平分为三组(免疫治疗前PD-L1<1%、≥1%、无法手术获取TIL但可耐受穿刺活检者)。
该试验中期数据显示:39例晚期非鳞状非小细胞肺癌(NSCLC)患者接受单次lifileucel治疗后,按RECISTv1.1标准,疾病控制率(DCR)高达71.8%,客观缓解率(ORR)达25.6%,其中完全缓解(CR)2例、部分缓解(PR)7例(详见下图)。

▲图源“Iovance”,版权归原作者所有,如无意中侵犯了知识产权,请联系我们删除
此外,经25.4个月随访,中位缓解持续时间(mDOR)仍未达到(详见下图)。与标准治疗多西他赛相比,Lifileucel优势显著:多西他赛对同类患者的ORR仅12.8%、mDOR为5.6个月、总生存期为12.3个月且无完全缓解,而lifileucel不仅缓解率更高,且持久性远超前者,为改善晚期非鳞状NSCLC患者预后提供了新潜力。

▲图源“Iovance”,版权归原作者所有,如无意中侵犯了知识产权,请联系我们删除
值得一提的是,在安全性方面,引入更新的NMA-LD方案后,总体安全性显著改善且不影响疗效:患者IL-2治疗后,住院天数中位数减少一半以上,细胞减少症发生率更低、恢复时间更短。
被判"免疫难治"又如何?Lifileucel为传统免疫无效的肺癌患者点亮生机,81%肿瘤退缩
除了最近(2025年11月3日)公布的IOV-LUN-202试验中期数据外,Lifileucel还曾在《Cancer Discovery》杂志公布了一个振奋人心的治疗案例,其治疗数据也治疗数据格外亮眼。
该患者是一位41岁IV期粘液性肺腺癌男性,携带KRAS G12D突变,肿瘤突变负荷(TMB)仅为3.3mut/Mb,且PD-L1表达为0%,属于传统免疫治疗获益极低的人群。然而在接受Lifileucel治疗12周后,依据RECISTv1.1标准评估,其部分缓解(PR)率竟高达81%(详见下图)。这一突破性成果,充分彰显了Lifileucel疗法超越传统免疫治疗局限的强大实力。
▼该患者接受TIL治疗前、治疗后6周的CT扫描对比

▲图源“Cancer Discov”,版权归原作者所有,如无意中侵犯了知识产权,请联系我们删除
TIL细胞疗法:从肿瘤样本到杀癌大军,利用数十亿"自身"免疫细胞精准杀癌
肿瘤浸润淋巴细胞(TIL)是人体天然存在的免疫细胞,可持续监测、识别并攻击癌细胞,其识别依据是癌细胞表面的肿瘤标志物——这些标志物具有高度患者特异性,大多数实体瘤的免疫靶点共通率不足1%。当癌细胞侵袭扩散时,会抑制TIL细胞功能并使其耗尽失活,进而成功逃避免疫系统攻击。TIL疗法的核心是激活并扩增患者自身的TIL细胞以对抗癌症。具体制造与治疗流程为:
1)首先,从患者体内获取约1.5厘米的肿瘤组织样本,用于提取天然TIL细胞。
2)之后,将样本送至中央GMP设施,利用专有的体外培养技术进行扩增,脱离抑制性肿瘤微环境后,TIL细胞会恢复活力并扩增至10^9~10^11个细胞量级。以LN-145(Lifileucel)为例,其制造周期为16~22天。
3)再通过单次治疗将数十亿个患者特异性TIL细胞回输体内,使其精准识别并摧毁癌细胞。
4)联合白细胞介素-2(IL-2)治疗,待血细胞减少症状缓解且毒性反应消退后,即可出院并进入密切随访阶段(详见下图)。

▲图源“Iovance”,版权归原作者所有,如无意中侵犯了知识产权,请联系我们删除
HPV-TILs助两例化疗难治性转移性宫颈癌患者,实现长期完全缓解
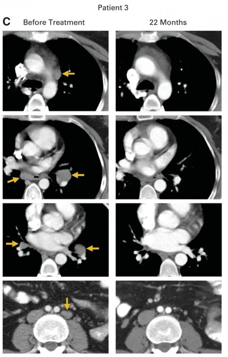
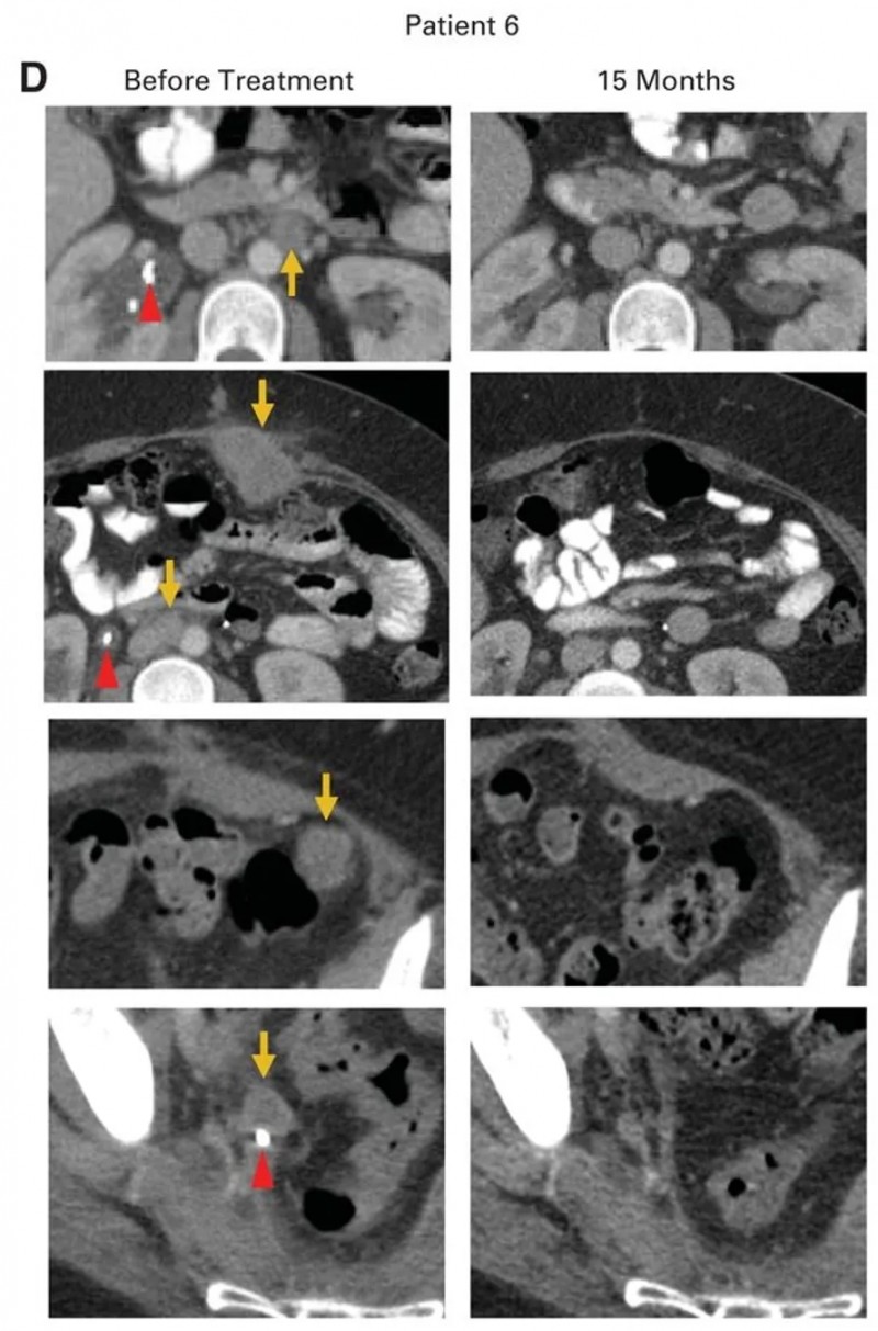
转移性宫颈癌属于化疗难治性上皮恶性肿瘤,《临床肿瘤学杂志》报道了一项HPV靶向肿瘤浸润T细胞(HPV-TILs)治疗此类癌种的振奋案例,其中两例患者奇迹般获得完全缓解,且22个月、15个月无复发。
患者3为一例转移性鳞状细胞癌女性,此前接受过多线治疗:顺铂+长春新碱+博来霉素诱导化疗、吉西他滨+顺铂放化疗后,出现气管旁、隆突下及双侧肺门淋巴结转移;经拓扑替康+紫杉醇治疗后病情仍进展,治疗时肿瘤已扩散至腹主动脉旁、双侧肺门、隆突下及髂淋巴结。接受HPV-TIL治疗后,所有病灶完全消退,且治疗后22个月无疾病复发(详见下图)。

▲图源“JCO”,版权归原作者所有,如无意中侵犯了知识产权,请联系我们删除
患者6为一例转移性腺癌女性,原发肿瘤对放化疗耐药,经挽救性手术证实腹主动脉旁、髂淋巴结及盆腔其他部位受累;后续癌症进展至腹膜后淋巴结、肝脏表面,伴右侧输尿管肾积水及双侧肺栓塞,需放置输尿管支架并接受抗凝治疗,治疗时腹膜后、腹壁、结肠旁、肝旁及盆腔均有进展性肿瘤。经HPV-TIL治疗后,患者获得完全临床缓解(CR)(详见下图),治疗后15个月无疾病复发迹象,右侧输尿管肿瘤消退后,已成功取出输尿管支架。

▲图源“JCO”,版权归原作者所有,如无意中侵犯了知识产权,请联系我们删除
TIL疗法联合帕博利珠单抗暴击转移性乳腺癌,50%肿瘤缩小+5年无新发
美国国家癌症研究所(NCI)开展了一项“TIL疗法联合帕博利珠单抗治疗转移性乳腺癌”的临床研究(入组6例患者),为避免输入的T细胞失活,所有患者在接受TIL治疗的同时联合帕博利珠单抗干预,结果显示联合治疗可诱导肿瘤显著退缩。
核心疗效数据亮眼:50%(3/6)患者实现可测量肿瘤缩小,其中1例达成持续无癌生存,另外2例在治疗后6个月、10个月的肿瘤缩小率分别达52%和69%。更值得关注的是,所有患者随访3.5年至5年,均无新发癌症。
1例乳腺癌典型病例TIL治疗前后的影像学对比图,更是直观印证了治疗效果:2015年12月检查显示,该患者肝脏及胸壁存在转移性病灶(详见下图a);经该免疫联合治疗后,2021年5月影像学检查证实肿瘤完全消退,且5年随访期间未出现复发(详见下图b)。该研究为转移性乳腺癌的免疫联合治疗策略提供了关键临床依据。

国内患者如何寻求TIL细胞疗法帮助
我国在TIL疗法的自主研发与临床应用上已取得显著突破,为患者提供了更便捷的治疗路径。好消息是,目前国内多家癌症中心已启动TIL疗法临床试验,面向晚期实体瘤患者(如黑色素瘤、肺癌、肠癌等)开放招募。患者可通过医学部提交病历资料,由专业团队评估入组资格,部分符合条件者可免费获得国际多中心试验优先治疗的机会。
在招项目及癌种
①GC101:适用于恶性实体瘤,如黑色素瘤、卵巢癌、胰腺癌、子宫内膜癌、肺癌等。
②GT101:标准治疗失败或者无法接受标准治疗的复发或转移性宫颈癌经治患者。
主要入组条件
1)18-75岁,男女不限,无严重基础疾病;
2)仅患一种恶性实体肿瘤,黑色素瘤、卵巢癌、胰腺癌、子宫内膜癌、肺癌、宫颈癌等优先;
3)经标准治疗失败或缺乏有效治疗方法;
4)至少有2个病灶,身体情况可支持手术取材,取材病灶未接受过局部治疗(如放疗、射频治疗、溶瘤病毒、溶瘤细菌等)。
申请流程
想申请抗癌新药临床试验的患者,需将近期病理报告、基因检测报告等资料汇总后,提交至医学部进行初步评估。
我们的专家将为您全面分析解读检测报告,预计一个工作日内电话联系推荐用药方案,并匹配适合患者入组的临床试验项目。注:作为国内权威的肿瘤患者服务平台,我们承诺对所有受试者的个人信息保密,并保证在整个过程中,遵循国家临床研究相关的法律法规。
小编寄语
TIL疗法是从癌症患者自身的肿瘤病灶中,找到“抗癌突破口”的一款新型T细胞免疫疗法,又被喻为“实体瘤利器”。
由于TILs细胞数量,会随患者的肿瘤进展而逐渐降低;且术后一旦接受辅助性放化疗,则可能会影响体内免疫细胞及正常细胞,因而,建议患者在肿瘤新诊断,且尚未接受放化疗等其他治疗前,储存TIL细胞为宜,一般来说,越早储存越好,以达到预期的抗癌效果。想寻求TIL疗法帮助或了解TIL细胞储存更多讯息的患者,可将近期病理检查结果、治疗经历等,提交至医学部,进行初步评估。
参考资料
[1]Stevanović S,et al.Complete regression of metastatic cervical cancer after treatment with human papillomavirus–targeted tumor-infiltrating T cells[J]. Journal of Clinical Oncology, 2015, 33(14): 1543-1550.
https://ascopubs.org/doi/10.1200/JCO.2014.58.9093?url_ver=Z39.88-2003&rfr_id=ori:rid:crossref.org&rfr_dat=cr_pub%20%200pubmed
[2]https://www.globenewswire.com/news-release/2025/11/03/3179067/0/en/Iovance-Biotherapeutics-Reports-Potential-Best-in-Class-Clinical-Data-for-Lifileucel-TIL-Cell-Therapy-in-Advanced-Non-Small-Cell-Lung-Cancer-NSCLC.html
[3]https://www.pharmacytimes.com/view/interim-phase-2-iov-lung-202-data-show-lifileucel-s-potential-treating-advanced-nsclc


























