如何增强PD-1抑制剂的疗效并减轻副作用
PD-1抑制剂通过激活人体自身免疫系统实现对肿瘤的“精准打击”,为肿瘤治疗带来了革命性突破——尤其为晚期肿瘤患者,以及对传统治疗无效的患者提供了长期生存的可能,成为重要的“救命药”。不过PD-1抑制剂也有一定的局限性,尤其是耐药问题是癌症患者绕不开的痛点,而联合免疫细胞疗法、癌症疫苗等,有望改写耐药患者生存剧本!
PD-1抑制剂:一张跨越多癌种的"作战地图"
在抗癌战场上,PD-1抑制剂以其卓越的“跨癌种”能力著称。它就像一把多用途的钥匙,目前已官方获批用于多种实体瘤和血液肿瘤,覆盖范围广泛,主要包括:
1、黑色素瘤(首个获批适应症);
2、非小细胞肺癌(NSCLC,临床最常用的癌种之一);
3、小细胞肺癌(SCLC);
4、肾细胞癌(RCC);
5、经典型霍奇金淋巴瘤(在此领域表现极佳,应答率较高);
6、头颈部鳞状细胞癌;
7、尿路上皮癌(含膀胱癌);
8、结直肠癌(特别是MSI-H/dMMR亚型效果突出);
9、胃癌、食管癌、肝癌、胰腺癌等(部分已获批,其余处于临床探索阶段)。
PD-1抑制剂为何备受青睐?其核心优势有哪些?

▲图源“Front”,版权归原作者所有,如无意中侵犯了知识产权,请联系我们删除
1、持久的战斗力与长期生存希望:这是它最亮眼的特点。不同于传统放化疗“伤敌一千,自损八百”的模式,PD-1抑制剂能唤醒体内的免疫记忆细胞,让它们长期监视肿瘤。部分幸运的患者甚至能达到“临床治愈”状态,五年生存率大幅提升就是明证。
2、疗效存在个体差异:当然,并非所有患者用药后都有效。其单药治疗的客观缓解率(指肿瘤显著缩小30%以上的患者比例)大约在20%~40%之间。不过,携带特定生物标志物的患者,有效率会显著增高。
3、联合治疗,威力倍增:将PD-1抑制剂与化疗、抗血管生成药物(比如贝伐珠单抗)、放疗或其他免疫抑制剂(如CTLA-4抑制剂)联用,已成为提升疗效的标准操作。这种组合拳在晚期非小细胞肺癌、肝癌、胃癌等一线治疗中,能显著提高缓解率和生存期。
需要特别留意的是,少数患者在治疗初期可能会遭遇“假性进展”。这指的是肿瘤在影像学上看起来变大了或出现了新病灶,但这其实是免疫细胞大量涌入肿瘤组织造成的假象,随后的复查中肿瘤反而会缩小。因此,医生需要结合患者症状、肿瘤标志物等多方面信息综合判断,避免因早期的“假象”而误判疗效、过早放弃。
认识PD-1抑制剂的另一面:常见副作用有哪些
PD-1抑制剂的作用机制是激活免疫系统去攻击肿瘤,但有时被激活的免疫系统会“杀红了眼”,错误地攻击正常组织,从而产生一系列与传统化疗截然不同的副作用。
较常见的副作用(发生率≥10%)
1、皮肤问题:最为常见,约30%-40%的患者会出现皮疹、瘙痒,部分黑色素瘤患者可能伴有白癜风。多数程度较轻,严重影响生活的情况罕见。
2、胃肠道反应:发生率在15%-25%之间,主要表现为腹泻、结肠炎,可能伴随腹痛、便血。需要警惕严重的腹泻(如每天超过7次),以防脱水和肠穿孔。
3、内分泌失调:发生率约10%-15%,且部分损伤可能是永久性的。最常见的是甲状腺功能减退(导致乏力、怕冷),早期也可能出现甲亢(心慌、手抖),随后转为甲减。其他如垂体炎、肾上腺功能不全等则相对少见。
4、流感样症状:多在治疗初期出现,表现为发热、乏力、肌肉酸痛等,通常能自行缓解或通过简单处理改善。
少见但危险的副作用(发生率<10%)
1、免疫性肺炎:最受关注的严重副作用之一,表现为咳嗽、胸闷、呼吸困难,进展可能很快,需立即停药并使用激素治疗。
2、免疫性肝炎:主要表现为转氨酶急剧升高、黄疸,严重时可能影响肝功能。
3、免疫性心肌炎:虽然罕见,但死亡率高,症状包括心慌、胸痛、心律失常等,需要紧急医疗干预。
4、其他:如免疫性肾炎、神经系统或血液系统毒性等,也需保持警惕。
总的来说,副作用的发生与疗效没有必然联系,没有副作用的患者同样可能获益。多数副作用在及时干预(如停药并使用激素)后可以控制,仅少数(如部分内分泌问题)可能需要长期替代治疗。
如何让PD-1抑制剂发挥更大作用?克服耐药痛点
尽管PD-1抑制剂效果显著,但耐药问题依然存在。如何提升疗效、克服耐药是当前研究的核心。
策略一:优化用药思路,规避耐药
PD-1抑制剂的作用不仅是“解除刹车”,更像是为免疫系统重新规划导航,使其精准攻击肿瘤。这与需要持续服用的靶向药逻辑不同。因此,临床上可以探索“先积极后保守,先猛后缓尽早停药”的给药策略:在确认有效后,逐步延长给药间隔,甚至尝试停药,利用已被激活的免疫记忆来长期控制肿瘤,这或许是减少耐药的关键。
策略二:强强联合,实现1+1>2
联合治疗是破解耐药、提升疗效的主流方向。
1、联合抗血管生成药物:此类药物(如贝伐珠单抗、阿帕替尼等)能改善肿瘤微环境,为免疫细胞“增援”创造条件,在肝癌、肾癌中效果显著。
2、联合化疗:化疗能破坏肿瘤细胞,释放更多抗原,增强免疫应答的“靶点识别”能力,让免疫系统目标更明确。此组合已是非小细胞肺癌、小细胞肺癌、三阴性乳腺癌等的标准方案。
3、联合放疗:放疗不仅能直接杀伤局部肿瘤细胞,还可诱导“远隔效应”(即照射部位外的肿瘤同步缩小),同时增强肿瘤免疫原性,与PD-1抑制剂联用可强化免疫记忆形成。在脑转移、局部晚期肺癌等场景中,该组合能显著提高局部控制率与远期生存率。
4、联合过继性免疫细胞治疗:PD-1抑制剂与肿瘤浸润淋巴细胞(TIL)疗法、CAR-T细胞等过继性免疫细胞疗法联用,可进一步激活特异性抗肿瘤免疫。例如,TIL疗法联合PD-1抑制剂治疗化疗耐药的转移性骨肉瘤,ORR达36.7%,部分患者实现长期无瘤生存。
5、联合癌症疫苗:疫苗负责“教育”免疫细胞识别敌人,可主动激活患者体内针对肿瘤抗原的特异性T细胞应答;而PD-1抑制剂负责解除抑制,主要通过解除T细胞的免疫抑制状态,形成“主动激活+解除抑制”的双重协同,尤其在PD-L1低表达患者中展现出潜力。
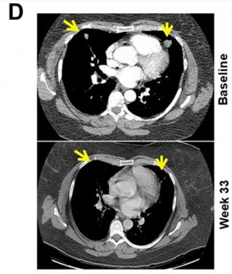
一项发表在《癌症免疫治疗杂志》上的前瞻性II期试验(NCT01876212)为联合治疗提供了证据。该研究针对15例PD-1抑制剂耐药的晚期黑色素瘤患者,使用“树突状细胞疫苗+达沙替尼”方案。
结果显示:从一开始就联合用药的B组,疗效远优于后期才联合的A组:客观缓解率达到66.7%,中位总生存期延长至15.45个月(对比3.47个月)。

▲图源“JITC”,版权归原作者所有,如无意中侵犯了知识产权,请联系我们删除
值得一提的是,B组2例代表性患者经联合治疗后,内脏转移瘤明显缩小,并产生了协同免疫反应,最终达到客观部分缓解(PR)标准。


▲图源“JITC”,版权归原作者所有,如无意中侵犯了知识产权,请联系我们删除
小编寄语
我们需理性看待PD-1抑制剂的临床应用:一方面,PD-1抑制剂的疗效存在个体差异,并非对所有患者均有效;另一方面,其副作用具有独特性(即免疫相关不良反应irAEs),需在有经验的肿瘤医生全程指导与密切监测下使用,一旦出现严重不良反应需及时干预。
对现阶段治疗方案不满意的患者,可将近期影像及病理检查报告、治疗经历等,提交至医学部,详细评估病情,或申请国内外抗癌专家会诊,寻求抗癌新药/新技术的帮助。
参考资料
[1]Storkus W J,et al.Dendritic cell vaccines targeting tumor blood vessel antigens in combination with dasatinib induce therapeutic immune responses in patients with checkpoint-refractory advanced melanoma[J]. Journal for immunotherapy of cancer, 2021, 9(11).
https://jitc.bmj.com/content/9/11/e003675


























