TILs疗法,简单点讲就是将手术切除的肿瘤组织中的淋巴细胞分离纯化,挑选出其中能特异性抗癌的淋巴细胞,扩增活化后回输。
肿瘤细胞治疗 2022-10-12
Futibatinib是一款口服药物,为高选择性、不可逆的FGFR抑制剂药物,对于FGFR1~4均有较好的抑制效果。
胆管癌 2022-10-12
EMB-01是一款新型的EGFR/c-MET双特异性抗体。这款药物最大的特点在于,和同类的阿米万他单抗(JNJ-6372)一样,EMB-01也有治疗奥希替尼耐药后患者的潜力。
肺癌临床试验 2022-10-12
质子束治疗肿瘤,是当今国际公认的尖端肿瘤治疗技术,可以把能量精准沉积在肿瘤区域,具有精度高、副作用小的优势。
肿瘤精准放疗 2022-10-11
质子重离子是放疗的一种方式,目前在癌症治疗领域很受欢迎。
可能由于NK细胞、巨噬细胞等先天免疫细胞更适用于同种异体疗法的开发,也预示着同种异体疗法是未来的发展趋势。
肿瘤细胞治疗 2022-10-11
MET,酪氨酸激酶受体编码基因,40年前被首次鉴定为原癌基因,算是癌症驱动基因当中比较年轻的“80后”。
肺癌靶向治疗 2022-10-11
谷美替尼(谷美替尼片,SCC244片)是一款国产MET抑制剂,目前已经公开了Ⅰ/Ⅱ期试验(GLORY试验)的数据,展现出了非常有潜力的疗效。
肺癌临床试验 2022-10-11
赛沃替尼(沃利替尼,Savolitinib,Volitinib)是一款国产MET抑制剂,也是首款在中国获批的MET抑制剂。
刚刚,国内的肝癌患者迎来重磅免疫新药!PD-1明星药物帕博利珠单抗第9项适应症在国内获批,用于治疗肝细胞癌,国内的患者有了新的治疗选择。
肝癌免疫治疗 2022-10-11
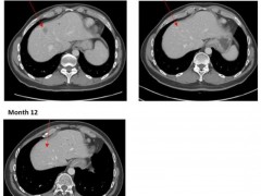
近日我们再次迎来喜讯,胆管癌第4款靶向药Futibatinib正式获批,这也是针对FGFR2异常的第3款靶向药。
胆管癌 2022-10-11
关于癌症基因检测,仍有很多病友对此知之甚少,针对病友们常见的关于基因检测的问题和误区,全球肿瘤医生网医学部整理了以下内容供大家参考。
肿瘤基因检测 2022-10-11
所有的病友在抗癌路上必定会充满艰辛和痛苦,而那些抗癌成功的人,从来都不是因为幸运......
肿瘤治疗 2022-10-11
放疗是利用高能量射线(或称高能量粒子)直接轰击癌细胞,它会直接破坏细胞的DNA,或通过电离产生自由基,从而造成肿瘤细胞死亡。
肿瘤精准放疗 2022-10-10
80%的患者病灶控制稳定或不同程度的缩小甚至消失,肺癌患者迎来第2款强效KRAS抑制剂!
肺癌靶向治疗 2022-10-10
无癌家园小编今天就迫不及待地给大家介绍这些国际先进前沿新技术新疗法!
肿瘤治疗 2022-10-10
近几年,癌症的靶向治疗发展迅速,越来越多曾经“无药可用”或疗效不佳的突变类型,终于有了“克星”,例如KRAS G12C、MET、RET、NTRK等等。
伯瑞替尼(Bozitinib)是一款我国自主研发的MET抑制剂,首次亮相于2022年AACR年会的“Ⅰ期临床试验”的汇报专场时,就以优异的成绩惊艳全场。
肺癌临床试验 2022-10-10
HTMC0503片对于EGFR罕见突变(ex20ins、G719X、S768I、L861Q)以及HER2 ex20ins都有一定的治疗潜力。
癌症复发,对于癌症患者来说无疑是第二次沉重的打击,是影响愈后和导致治疗失败的主要因素。
《免疫疗法癌症》杂志发表的临床研究(NCT03610490),不仅验证了TIL疗法在实体瘤治疗中的显著优势,还评估了其用于复发性或难治性卵巢癌、结直肠癌、胰腺导管腺癌的疗效与安全性。
2025年10月是肿瘤治疗领域的关键节点,美国食品药品监督管理局(FDA)集中发布多项关键审批决定。
《抗癌研究》杂志曾报道一项“新抗原肽脉冲DC疫苗单药治疗晚期实体肿瘤”的临床研究,多例患者反应强烈,结论显示该疗法具备临床与免疫学有效性及安全性。
HZ-A-018 胶囊是一种口服小分子布鲁顿酪氨酸激酶(BTK)抑制剂,HZ-A-018的1期临床试验显示总体安全性良好,在复发/难治性原发或继发中枢神经系统淋巴瘤及原发玻璃体视网膜淋巴瘤患者中已显示疗效。
2024年2月16日,全球首款TIL(肿瘤浸润淋巴细胞)疗法lifileucel(LN-144)获批上市,标志着潜伏于肿瘤组织中的“实体瘤克星”正式应用于临床。
如今“盼星星盼月亮”,终于在2025年10月30日,等到了第八次国家医保药品目录谈判(“国谈”)开启,本次调整的最大突破是首次增设商保创新药目录,为高价创新药开辟新支付路径,CAR-T等创新产品的参与成为核心看点。